手机版

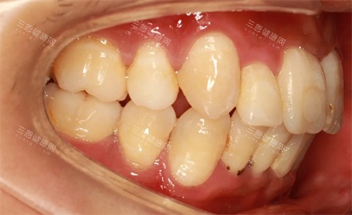
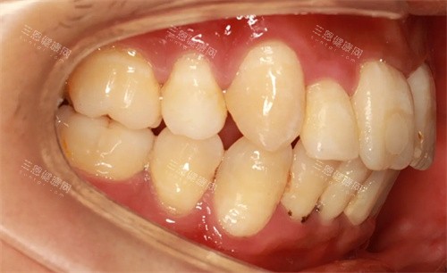
隐适美方案怎么查才靠谱?手把手教你识别认证医生,选对不踩坑!

查隐适美方案要通过医生专属IDS系统看3D动画,识别认证医生可通过
2026-01-24 00:00:00

南京思美尔口腔到底怎么样?地址+电话+真实评价+价格全解析,看牙前必读!

南京思美尔口腔是南京建邺区口碑不错的私立口腔门诊部,有富有经验
2026-01-24 00:00:00

杭州临安种植牙选哪家更划算?锦城/戴正高/艾齿等7家牙科对比,性价比之王揭晓!

一、临安种牙性价比之选看这里杭州临安种植牙选锦城口腔、雅正口
2026-01-24 00:00:00

赣州阳光口腔靠不靠谱?本地人强推的连锁牙科,环境好项目全,放心看牙优选!

赣州阳光口腔是本地人强推的正规连锁牙科,环境舒适项目齐全,医生富
2026-01-24 00:00:00

绍兴新昌爱齿口腔为什么这么火?患者真实反馈大公开,看牙就选这家!

绍兴新昌爱齿口腔之所以这么火,靠的是特色的技术、贴心的服务、实
2026-01-24 00:00:00

重庆鹏博口腔彭水分院详情大揭秘!地址+电话+价格+点评,看牙前先了解清楚!

重庆鹏博口腔彭水分院是当地口碑不错的连锁私立牙科,今天就把它的
2026-01-24 00:00:00

温岭牙科哪家技术强服务好?东方/太平未尔/牙博士3家对比,收费合理不踩雷!

本文从技术、服务、收费多维度对比,帮你选到合适的牙科机构!一、三
2026-01-24 00:00:00

潍坊白内障免费治疗活动大公开!这7个可申请项目让你不花一分钱重获清晰视力,快来看看如何报名吧!

咱潍坊的白内障患者有福啦!多项免费治疗活动正在进行中,7个可申请
2026-01-24 00:00:00

验光到底该去医院还是眼镜店?价格差异大揭秘!一次验光要花多少钱?综合眼病又该如何处理?

验光选医院更适合有眼病或复杂视力问题的人群,眼镜店适合常规配镜
2026-01-24 00:00:00

佳木斯爱视眼科怎么样?超靠谱!基础眼

在佳木斯,当人们提及看眼的好去处,佳木斯爱视眼科常常是大家口
2026-01-23 15:54:13

梦戴维OK镜有哪些系列?深度对比AP、

对于家里有近视娃的家长来说,给孩子选一副合适的OK镜(角膜塑形
2026-01-23 15:14:27

北京普祥眼科医院电话号码是多少?01

当遇到眼部不适或想要进行眼部检查时,选择一家正规可靠的眼科
2026-01-23 15:14:08

无锡华厦眼科怎么样啊?探店实测体验

在无锡,提到眼科医院,无锡华厦眼科的名字总会被频繁提及。无论
2026-01-23 11:25:41

2026新疆474医院眼科收费价格表曝

2026年新疆474医院眼科收费价格表涵盖近视矫正、白内障治疗
2026-01-23 08:52:49

深圳南山区夜间牙科推荐:麦芽、格伦

在深圳南山区,快节奏的工作与生活让不少市民白天难以抽出时间
2026-01-23 00:00:00

合肥中科大眼科医院地址大揭秘!金

朋友们,如果你正在寻找合肥中科大眼科医院的具体位置,恭喜你找
2026-01-23 00:00:00

谷城县牙管家口腔怎么样?地址在城关

“谷城牙管家口腔到底咋样?地址是不是在城关镇沿河路?看牙贵不
2026-01-22 18:01:01

南京隆鼻假体大概多少钱?分享26年南

目前南京隆鼻假体的价格跨度较大:单纯国产假体隆鼻约3000-800
2026-01-22 17:00:12

隐适美方案怎么查才靠谱?手把手教你

查隐适美方案要通过医生专属IDS系统看3D动画,识别认证医生可
2026-01-24 00:00:00

南京思美尔口腔到底怎么样?地址+电

南京思美尔口腔是南京建邺区口碑不错的私立口腔门诊部,有富有
2026-01-24 00:00:00

杭州临安种植牙选哪家更划算?锦城/

一、临安种牙性价比之选看这里杭州临安种植牙选锦城口腔、雅
2026-01-24 00:00:00

赣州阳光口腔靠不靠谱?本地人强推的

赣州阳光口腔是本地人强推的正规连锁牙科,环境舒适项目齐全,医
2026-01-24 00:00:00

绍兴新昌爱齿口腔为什么这么火?患者

绍兴新昌爱齿口腔之所以这么火,靠的是特色的技术、贴心的服务
2026-01-24 00:00:00

重庆鹏博口腔彭水分院详情大揭秘!地

重庆鹏博口腔彭水分院是当地口碑不错的连锁私立牙科,今天就把
2026-01-24 00:00:00

温岭牙科哪家技术强服务好?东方/太

本文从技术、服务、收费多维度对比,帮你选到合适的牙科机构!一
2026-01-24 00:00:00

2026年补牙价格表更新:不同材料、牙

2026年补牙相关价格已齐全更新,补牙费用并非固定数值,从基础填
2026-01-24 00:00:00

北京美冠塔口腔医院分店地址及预约

北京美冠塔口腔是专注中老年群体的连锁口腔专科机构,6家分店
2026-01-24 00:00:00

居家如何科学消毒 一图了解 都需要

居家如何科学消毒 一图了解 都需要注意什么
2022-12-15 13:53:01

女子吃5天感冒药多脏器功能衰竭 背

女子吃5天感冒药多脏器功能衰竭 背后的真相让人始料未及居住
2022-12-15 13:52:55

患者激增 医护人员大面积感染 关键

患者激增 医护人员大面积感染 关键是药店买不到药不去医院能
2022-12-15 13:52:40

居家如何科学消毒 一图了解 家中

居家如何科学消毒 一图了解 日常居家需要天天消毒吗?消毒剂
2022-12-15 13:52:31

女子吃5天感冒药多脏器功能衰竭 真

女子吃5天感冒药多脏器功能衰竭 真的是太乱来了浙江大学医学
2022-12-15 13:52:26

女子坐地铁不戴口罩称有病毒的才戴

女子坐地铁不戴口罩称有病毒的才戴 我觉得不怕死的才不戴12
2022-12-15 12:54:47

曝皇马同意本泽马参加***杯决赛 梅

曝皇马同意本泽马参加***杯决赛 梅西想拿大力神杯的概率更低
2022-12-15 12:54:43

杨迪回应照片被当作“阳敌”护体符

杨迪回应照片被当作“阳敌”护体符 杨迪是什么梗随着放开,身
2022-12-15 12:54:30

张力被捕后天价保释金是怎么来的

张力被捕后天价保释金是怎么来的 资金是否合情合理近日,富力
2022-12-15 12:54:23

验光到底该去医院还是眼镜店?价格差

验光选医院更适合有眼病或复杂视力问题的人群,眼镜店适合常规
2026-01-24 00:00:00

2026年青岛白内障手术全免费!报名流

2026年青岛推出白内障手术全免费政策,符合条件的患者可申请,本
2026-01-24 00:00:00

普瑞眼科2026价格:近视手术9000元起

2026年普瑞眼科公布了全新价目表,近视手术9000元起、白内障48
2026-01-24 00:00:00

昆明红会眼科医院2026年收费标准出

0871-65150120,患者可随时拨打了解挂号、费用明细、医生排班
2026-01-24 00:00:00

许昌华厦眼科靠谱吗?真实患者评价告

许昌华厦眼科是国内连锁的正规二级眼科医院,有富有经验的医疗
2026-01-24 00:00:00

爱尔眼科2026白内障价格单焦点3000

爱尔眼科2026年白内障手术单焦点晶体3000元起,三焦点晶体2000
2026-01-24 00:00:00

天水市一医院眼科实力如何?特色设备

天水市一医院眼科作为综合标杆,凭借靠前特色设备、富有经验的
2026-01-24 00:00:00

2026年老年人免费白内障手术全攻略

2026年符合条件的老年人可申请免费白内障手术,本文整理了申请
2026-01-24 00:00:00

汕尾爱尔眼科技术优势?超亮眼!精密切

在当今社会,视力问题日益成为人们关注的焦点,尤其是近视人群的
2026-01-23 15:59:16

美国***新膳食指南报告告诉你吃什

***有句老话叫做病从口入,可见人们很早以前就意识到饮食对健
2021-04-11 00:10:06

同性恋双性恋的同性***心理大解读

如今越来越多的同性恋和双性恋人出现在公众的视野里,对此社会
2021-04-11 00:10:06

***新数据发布这些职业岗位胖子巨

据澳大利亚《信使邮报》(TheCourier-Mail)1月12日报道,澳大利
2021-04-11 00:10:06

医改两会重点议题委员热议医改

2018年政府工作报告提出,深化***医院综合改革,协调推进医疗价
2021-04-11 00:10:06

婚后性欲减退 4个***技巧让激情不

婚后为何男人的性欲会减退呢,这个问题不解决以后怎么能好好的
2021-04-11 00:10:06

如何俘虏男人 女人想要征服男人的

现如今的社会,不管是男人还是女人,想要***了解一个人是很难的,
2021-04-11 00:10:06

慌张步?面具脸?小写症?帕金森作祟

九九重阳,有长久长寿的含意,人们将这一天定义为老人节,代表着对
2021-04-11 00:10:06

***社保一卡通 提出2017年实现***

人力资源和社会***部近日出台了加强和改进人力资源社会***领
2021-04-11 00:10:06

***医院改革2017年***推行 已100城

十二五期间,我国医疗卫生体制改革不断深入。展望十三五,病有所
2021-04-11 00:10:06